牙周疾病

Periodontist (2015-08-13 11:55:01) 評論 (0)

楊醫生牙周病種植體講壇 || 牙周疾病

2015-08-09 DrYiYang 新注冊公眾號 新注冊公眾號

為您帶去一個生動有趣的講壇,讓您獲取牙周病,種植體的科學知識. Bring you a fun and informative forum to understand periodontics and implant surgery. Enjoy and have fun !!!

 

Dr. Yi Yang

 

Periodontist and Implant Surgeon

DDS, MDS, MSc, PhD

Fellow of Royal College of Dentists of Canada


 

 

 

牙周疾病

 

牙周組織由

1)牙槽骨 (alveolar bone)

2) 牙骨質(cementum)

3牙周韌帶 (periodontal ligament)

4牙齦(gingival)

組成(見下圖,圖片取自Rose Periodontics 2004第一版)

 

 

 

我們通常所說的牙周疾病包括牙齦炎和牙周炎,還有其他一些疾病不在這裏一一例舉。

 

牙齦炎指的是炎症僅限於牙齦,沒有臨床附著丟失及骨吸收。對於牙齦炎的認識來自於六十年代經典的牙周臨床研究(LoeTheilade and Jensen, Pubmed ID14296927)(用的是牙醫學院的大學生。沒錯,那些未來的牙醫做了小白鼠)。這個臨床研究讓參與實驗的大學生們不刷牙,不漱口,不用牙線,總之停止一切口腔衛生。結果無一例外,這些實驗參與者在停止口腔衛生後10天到21天之間,出現了牙齦炎症狀。所幸的是,牙齦炎的症狀是可逆的,在恢複口腔衛生後,所有炎症症狀消失了。這個實驗結論是牙菌斑裏所含的細菌是牙齦炎的致病原因。這以後,這個經典實驗被重複了無數次。

 

圖片顯示牙齦炎症,臨床檢查未發現臨床附著丟失,X光未見骨吸收。圖片顯示明顯的菌斑牙石,牙齦紅腫)。(圖片取自Carranza Clinical Periodontology 2012, 11版)

 

 

 

 

而牙周炎則複雜得多。牙周炎表現包括炎症,骨吸收及臨床附著的丟失。假設沒有再生(Periodontal regeneration)治療,這些丟失的組織就再也回不來了。因為不可逆轉的結果,當然就不能再找大學生做小白鼠了。這些科學家醫生找到了一個非常理想的人群作為牙周病的研究對象Loe et al, Pubmed ID 7593696)。七十年代, Loe在斯裏蘭卡找到一群茶葉工人,這些工人從來沒有任何口腔治療,洗牙對他們來說是天方夜譚。 1970年,他們對480名工人進行了第一次臨床檢查,以後又進行了隨訪檢查,最後一次檢查是1985年,那時仍然能找到的工人剩下了161名。 結果顯示8% 的人群表現了快速的臨床附著丟失,而絕大部分的工人(81%) 表現出中等程度的臨床附著丟失。最令人驚訝且事先沒有預測到的結果是11%的工人沒有任何臨床附著的丟失,盡管他們的口腔衛生非常糟糕。這項流行病學調查顯示了光有細菌及菌斑還不至於導致牙周病。隨著對免疫學的認識,科學家們意識到,個體對菌斑裏細菌的反應是導致牙周組織破壞的主要原因。到這兒,各位看官要說了,不刷牙不見得會得牙周病呢?你百分之百正確,要是你幸好屬於那11%的人群,可你又怎麽能保證自己這麽幸運呢?因為牙周破壞的不可逆性,所以不建議拿自己做實驗。

 

 

 

 


 

 

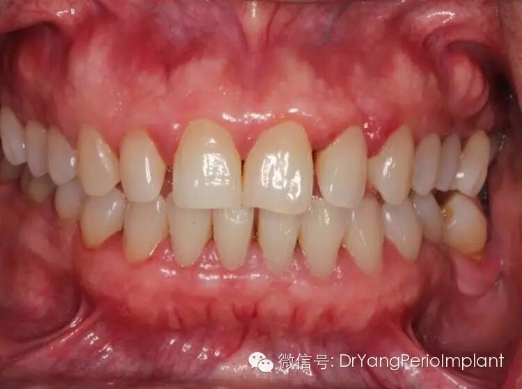
慢性牙周病一例。照片,臨床檢查,X光取自筆者治療過的患者。中年女性,長期沒有正規口腔檢查治療。照片顯示明顯的炎症,臨床檢查顯示附著丟失, X光顯示牙槽骨吸收。

 

看到這兒,也許你要提問題呢,不著急,未完待續。。。